Conveniently located to serve the areas of Maryland, Virginia and Washington, D.C.
Age: 51-65
55-year-old Facelift and Browlift
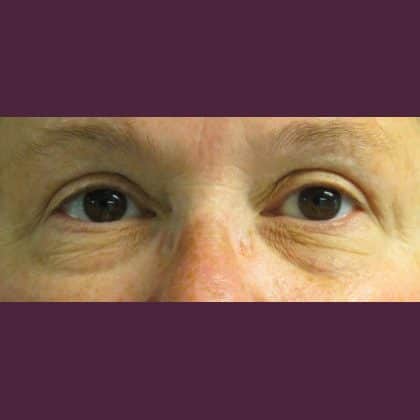
46-year-old just 2 weeks after NaturalLift™ and upper and lower eyelid surgery (blepharoplasty)
Age: 65+
NaturalLift™
77 y/o 3 months after NaturalLift™ (lower face and neck lift) in our office OR under sedation
69 y/o woman underwent NaturalLift™ (lower face and neck lift) in our office operating suite under twilight anesthesia. 5 Months post -op.
66 y/o Female S lift 3 months post-op Facelift
Deep Plane Facelift
Age: 41-50
Facelift
Lower Blepharoplasty
Age: 18-24
Upper and lower eyelid surgery with fat grafting.
Age: 25-30
63 year old, quad blepharoplasty upper and lower
Age: 31-35
60 year old lower blepharoplasty
29 year old chin augmentation, 3 months post op
21 yo chin augmentation
Age: 36-40
Age: 18
51 year old upper and lower blepharoplasty, 3 months post op
5 months after a upper and lower blepharoplasty.
58 years old, lower blepharoplasty, 3 months post op
39 y/o lipo neck
29-year-old liposuction neck
TEXTING AVAILABLE! For a text response feel free to text the number provided on your screen after filling out this form.