Conveniently located to serve the areas of Maryland, Virginia and Washington, D.C.
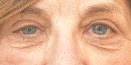
73 year old, upper blepharoplasty 3 months post op
TEXTING AVAILABLE! For a text response feel free to text the number provided on your screen after filling out this form.